CONSTRUIMOS ESPERANZA
Inicio | Apoyo a la investigación

La investigación
es nuestro futuro.
PROYECTOS INVESTIGACIÓN
Nuevo avance sobre la metástasis de mama
Nuevo avance sobre la metástasis de mama con apoyo del Premio Chiara Ayer se publicó en Cancer Cell un descubrimiento que identifica una nueva vía para frenar la diseminación del cáncer de mama. Nos...
VI Convocatoria Premio M. Chiara Giorgetti a la investigación en Cáncer de Mama Metastásico
Es un honor para nuestra presidenta, Pilar Fernández Pascual, y para todas nosotras convocar por sexto año consecutivo el Premio M. Chiara Giorgetti a la investigación en cáncer de mama metastásico....
Es necesario precisar el fenotipo HER2-Low en el diagnóstico de cáncer de mama
En el Congreso Anual de la Sociedad Europea de Oncología Médica (ESMO) celebrado recientemente en Barcelona se han presentado los resultados del estudio observacional y multicéntrico Geicam/2011-06,...
De la academia a la clínica: la importancia de la investigación observacional en cáncer de mama
Las Dras. Sara López-Tarruella Cobo y Sònia Servitja Tormo explican cómo, además de los conocidos ensayos clínicos, existen otro tipo de proyectos de investigación más propios del ámbito académico:...
ASCO 2024. CMm Luminal A/B: resultados de su estudio PATRICIA-cohorte C
Durante el Congreso Anual de la Sociedad Americana de Oncología Clínica (ASCO) celebrado recientemente en Chicago, el grupo SOLTI ha presentado los resultados del estudio PATRICIA-cohorte C: en...
ASCO 2024. Ensayo demuestra mejor tolerancia del Sacituzumab Govitecan (Trodelvy)
Durante el durante el Congreso Anual de la Sociedad Americana de Oncología Clínica (ASCO) celebrado recientemente en Cjicago, se han presentado los resultados del ensayo PRIMED, impulsado por la...
ASCO 2024. Nuevos datos con trastuzumab deruxtecán en cáncer de mama HER2+ metastásico
En ASCO 2024 (American Society of Clinical Oncology) se han presentado los resultados del estudio Destiny-Breast03, que también han sido publicados en la revista Nature Medicine. El principal autor...
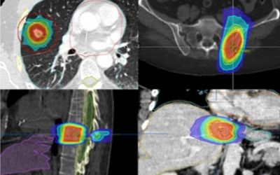
La radiocirugía craneal (SRS) y extracraneal (SBRT), parte III. Alcance
¿Hasta dónde llegan la radiocirugía craneal y extracraneal (SRS y SBRT)? Ambos tratamientos se diseñan como un “traje a medida” de las metástasis a tratar. Gracias a las pruebas de imagen como el...
La radiocirugía craneal (SRS) y extracraneal (SBRT), parte II. Indicación clínica
Mientras el tratamiento sistémico (oral o intravenoso) suele ser la base terapéutica en las pacientes con cáncer de mama metastásico, la radioterapia y de forma específica la radiocirugía craneal y...









